Root Canal Treatment

Overview

Root Canal Treatment is commonly used to alleviate pain in the teeth while also saving them. Common reasons for needing s root canal are because of an infection or inflammation in the roots of the teeth. At Rehan dental surgery in Karachi root canal treatment is one of our specialties furthermore we try our level best to cause minimum discomfort and maximum results in our patients.In this treatment the pulp is removed from inside the tooth then it is cleaned, disinfected, shaped for the root canal and finally sealed using a filling.

Root Canal Treatment and procedure is mostly complex, depending on the situation and may require a number of visits over a span of weeks. Therefore, root canals are suggested or even needed by patients who have a infection deep in the roots of the teeth. This infection can be as a result of an injury or because of a chronic and untreated cavity. Treatment at this point becomes a must otherwise the tooth has to be removed. In the event of the infection becoming so severe that it might spread throughout the pulp a pulpectomy is recommended. In a pulpectomy  the pulp tissue is removed. 

Root Canal Special Case Study

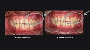
At Rehan Dental Surgery we do root canal treatments in the best possible manner and with proper protocols. We strive to attain reliable results by doing root canals in the same manner as done across the world. We educate our patients that your tooth is more worthy than most expensive diamond in the world and by root canal treatment majority of your teeth can be saved. Root canal is one of the most complicated treatments and needs rigorous training as every tooth has a hidden surprise inside it and only a specialist is able to manage such complexities as he is trained for it. Below is a case of root canal treatment of maxillary 2 premolar done by our specialist. This type of case was reported only 1-6% times in the whole world. Our specialist managed this case with perfection.

Cracked Tooth Treatment:

 Cracked tooth syndrome, caused by injury or wear, can lead to intermittent or sharp pain, especially when chewing or exposed to hot or cold. At Rehan Dental Surgery, our specialists assess the type, location, and extent of the crack to provide precise treatment, aiming to save the tooth and restore long-term, pain-free function.

Dental Abscess Treatment

A dental abscess is a localized collection of pus, commonly caused by bacterial infection from tooth decay, broken teeth, periodontal disease, or failed root canal treatment. Timely treatment is essential to prevent further complications and restore oral health.

Before And After Treatment

Testimonial

What They Say

Healthy Smiles Start Here

Book your appointment today and experience expert dental care in Karachi.