Post and Core

Overview

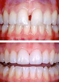
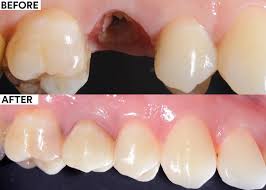
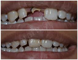
Rehan Dental Surgery Karachi, The restoration of endodontically treated tooth with a post retained crown is a time tested treatment modality with a fair amount of clinical success. A post and core restoration with adequate ferrule can salvage teeth that might otherwise be replaced by other more expensive and invasive treatment.

Post and Core at Rehan Dental Surgery

A post and core crown is recommended when there isn’t enough natural tooth structure to support a conventional crown. In this procedure, a post is cemented into a prepared root canal to retain a core restoration, which in turn supports the final crown. The post helps hold the crown in place and distributes biting forces along the root, but it does not strengthen the tooth itself and may even increase the risk of root fracture if not properly planned.

Before placing a post and core crown, the dentist evaluates several factors: the presence of sufficient coronal tooth structure (ferrule), adequate canal length to retain the post, the shape and curvature of the root canal system, thickness of the root dentin, and the overall restorability of the tooth. Proper assessment ensures a durable, functional, and long-lasting restoration.

Benefits of Post and Cores.

Placing a post in a root canal improves crown retention, but it comes with risks, including root perforation, increased fracture likelihood, difficulty with future root canal treatments, and significant removal of tooth tissue. The presence of a ferrule can help strengthen the restoration.

Posts are more commonly needed for anterior teeth, as posterior teeth often have larger pulp chambers that provide sufficient retention for a core and crown. If a post is required for a posterior tooth, only one should be used in the largest canal to avoid excessive dentin removal. Alternatively, a Nayyar core may be used for better support without the need for multiple posts.

Procedure of Post and Cores.

Procedure Post and cores divide into two main groups: prefabricated and cast. Both of these systems employ a post that is placed within the root canal of the tooth being restored. Thus the tooth must first be endodontically treated. After the endodontic procedure has been completed, and the root canal(s) is/are filled with the inert gutta percha root canal filling material, some gutta percha is removed from the canal space. Gutta Percha can be removed mechanically(use of Gates Glidden),thermally(use of System B Tip), and chemically(use of chemical solvents, however this method is not advocated nowadays due to difficulty in controlling the depth of softening) The space that exists coronal to the remaining gutta percha, called the post space, is now available within which to place a post. It is desirable to leave sufficient root filling material in the apical area to maintain an apical seal. This procedure does not even require local anesthesia as the tooth has long been dead after the root canal treatment and no pain is felt.

Before And After Treatment

Testimonial

What They Say

Healthy Smiles Start Here

Book your appointment today and experience expert dental care in Karachi.