Diastema
Overview
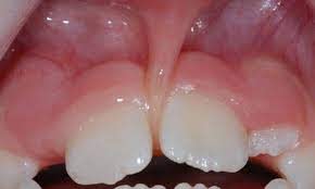
A diastema is a space or gap between two teeth. Diastemata are common for children and can exist in adult teeth as well.
Diastema Problem and Treatment at Rehan Dental Surgery
Diastema is a gap between two teeth, common in both children and adults. It often occurs due to a mismatch between jaw size and teeth, but can also be caused by factors like a large labial frenulum or tongue thrusting, which push teeth apart.
Diastema Treatment
- Determining the cause of the diastema, then treat the cause.
- Diastema treatment options can differ from one patient to another, but generally it is treated by orthodontics,or composite fillings, or a combination of veneers or crowns.
Frenectomy
A frenectomy, also known as a frenotomy, can refer to any procedure where binding tissue on the body is cut or modified.
Frenectomy Procedure
In most cases, the oral frenectomy procedure is fairly straightforward. Here are the general steps:
After a consultation with your doctor at Rehan Dental surgery Karachi, the person getting the frenectomy procedure will need to be secured while lying faceup. You may need to hold your child during the procedure.
Your doctor at Rehan Dental surgery Karachi, may apply a topical anesthetic to the area to numb any pain.
Your doctor at Rehan Dental surgery Karachi, will quickly snip the frenum using a scalpel, surgical scissors, or a cauterizing instrument.
If the lip tie is severe or more complicated, it may require a few stitches to close the incision.
The entire procedure will likely take 15 minutes or less from start to finish.
Before And After Treatment
Testimonial
What They Say
The best dental experience I’ve ever had. I got my braces done here and the results are amazing. The doctor and staff made me feel so comfortable throughout the process.
I was nervous about getting a root canal, but the treatment was painless and quick. Rehan Dental Surgery truly lives up to its reputation for expert care.
Dr. Prof. Junaid Lakhani is highly professional and experienced. My dental implant looks and feels completely natural. Couldn’t be happier with the results.
Clean, modern clinic with friendly staff. I had my wisdom tooth removed and it was completely hassle-free. Highly recommended!
Affordable and professional dental care. The team explained everything clearly and made sure I was comfortable during my crown treatment.
Excellent service and great attention to detail. I bring my kids here for their check-ups, and they actually look forward to visiting the dentist now!