Orthodontics

Overview

Most Orthodontics problems in our patients are inherited.Examples of these genetic problems are crowding, spacing, protrusion, extra or missing teeth, and some jaw growth problems.Other malocclusions are acquired as a result of thumb- or fingersucking, dental disease, accidents, the early or late loss of baby (primary) teeth, or other causes.
Rehan Dental Surgery has team of experienced Orthodontists are dental specialists who diagnose, prevent and treat dental and facial irregularities.

At Rehan Dental Surgery, orthodontic treatment for malocclusion usually lasts 1–3 years, followed by retainers to maintain results. Our orthodontists adjust braces every 6–8 weeks and design treatment plans tailored to each patient’s needs. In children, early treatment helps prevent damage to permanent teeth, while adults benefit from modern, comfortable options.

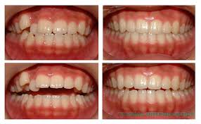
How Do You Know You Need Orthodontic Treatment?

Only a dentist or orthodontist can determine if you need treatment, using tools like dental history, medical records, X-rays, photographs, and models of your teeth.

Signs you may need orthodontic care include:

  • Overbite: Upper teeth protrude over lower teeth.

  • Underbite: Lower teeth or jaw extend beyond upper teeth.

  • Crossbite: Upper and lower teeth do not align properly side-to-side.

  • Open Bite: Back teeth meet but front teeth do not touch.

  • Misaligned Midline: Centers of upper and lower front teeth do not match.

  • Spacing: Gaps between teeth due to missing teeth.

  • Crowding: Too many teeth for the space available in the jaw.

Appliances – Fixed & Removable

We offer a variety of appliances to move teeth, correct bites, and guide jaw growth:

  • Fixed Appliances: Braces (bands, brackets, wires) and space maintainers. Braces are now lighter, smaller, and more comfortable, with colorful ligatures available for a personalized touch.

  • Removable Appliances: Space maintainers, jaw repositioning splints, lip/cheek bumpers, palatal expanders, retainers, headgear, and aligners. These help correct jaw growth, keep spaces open for permanent teeth, or prevent relapse after treatment.

Modern Solutions

Our orthodontists also provide Invisible Aligners — a clear, removable alternative to braces that straighten teeth discreetly while allowing patients to eat, brush, and floss comfortably.

Testimonial

What They Say

Healthy Smiles Start Here

Book your appointment today and experience expert dental care in Karachi.