Crowns & Bridges

Overview

Crowns and Bridges are fixed prosthetic devices, unlike removable devices such as dentures. Rehan Dental Surgery specializes in Crowns and Bridges procedures in which patient cannot remove and clean daily. Crowns and bridges are cemented onto existing teeth or implants, and can only be done by top class professional dentists.

Crowns and Bridges Procedure in Karachi by Rehan Dental Surgery

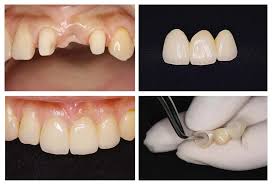
A crown fully covers a damaged tooth to restore strength, shape, and appearance. It can also be placed on implants to provide a natural tooth-like structure. Porcelain, ceramic, or porcelain-fused-to-metal crowns are used for durability and aesthetics.

A bridge replaces one or more missing teeth, preventing remaining teeth from shifting and avoiding bite problems, gum disease, or TMJ issues. Bridges are anchored to surrounding teeth or implants (abutments), with a substitute tooth (pontic) filling the gap. At Rehan Dental Surgery, bridges and crowns restore full function, look natural, and can usually be completed in just two appointments.

 
 

Preparation of Bridge or Crown

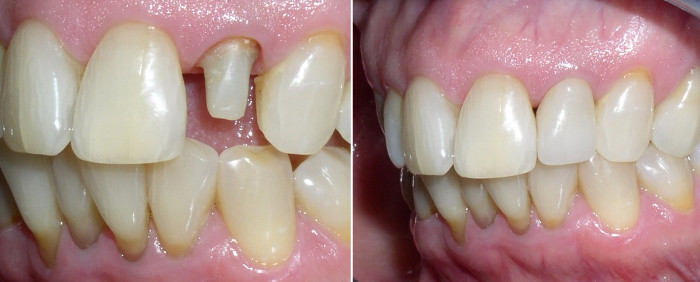
To fit a crown or bridge, the dentist first reshapes the tooth or abutments and takes an impression for an accurate mold. A temporary crown or bridge protects the tooth while the permanent one is made. Once ready, the temporary is replaced, and the permanent crown or bridge is cemented in place for a natural look and proper function.

Common Method of Rehan Dental Surgery

At Rehan Dental Surgery, crowns and bridges are typically made using impressions of prepared teeth, allowing strong materials like porcelain or metal to be crafted outside the mouth. Crowns restore teeth damaged by decay, cracks, or after root canal treatment, while bridges replace missing teeth by anchoring to adjacent teeth or implants. Both improve function, appearance, and alignment, providing durable, natural-looking results.

 

Life Span of Crowns and Bridges

Although no dental restoration lasts forever, the average lifespan of a crown is around 10 years.

While this is considered comparatively favorable to direct restorations, they can actually last up to the life of the patient (50 years or more) with proper care.

The most important factor affecting the lifespan of any restorative is continuing oral hygiene as with any fixed prosthesis including Crowns and bridges, maintaining good oral hygiene to prevent plaque formation around the crowns and bridges is a key factor to ensure prolonged performance as bridges can lose their support if the teeth or bone holding it in place is damaged by dental disease.

Keep your gums and teeth healthy by brushing with any fluoride toothpaste twice a day and flossing regularly. Also, see our dentists as prescribed for checkups and professional cleanings. To prevent damage to your new bridge or crown, avoid chewing hard foods, ice, or other hard objects.

Before And After Treatment

Testimonial

What They Say

Healthy Smiles Start Here

Book your appointment today and experience expert dental care in Karachi.