Dental Fillings

Overview

Dental Fillings or Tooth Fillings are used by dentists at Rehan Dental Surgery to restore teeth which are damaged by decay or trauma. Fillings restore tooth structure and block the entry of pathogens such as bacteria into your vital areas of teeth causing further decay and pain.

Definition and why it is needed

Dental Fillings are used by Rehan Dental Surgery to restore teeth that are damaged by decay or trauma. Fillings restore tooth structure and block the entry of pathogens such as bacteria into your vital areas of teeth causing further decay and pain. Fillings used at Rehan Dental Surgery include; Composite fillingsGlass- ionomer, and Ceramic.

Dental Filling Procedure

During your checkup, the dentist will use a small mirror to examine your teeth. If in case something looks out of the ordinary then the dentist will use special instruments to closely examine the tooth and he may also require an x-ray.

Types of Dental Fillings

Composite fillings are tooth-colored, made of plastic and fine glass, and ideal for visible areas. They repair decay, chips, or worn teeth and bond directly to the tooth structure.

Glass-ionomer fillings release fluoride and are best for areas below the gumline, roots, or baby teeth, but are less durable than composite fillings.

Ceramic fillings are porcelain-based, highly stain-resistant, and long-lasting, though more brittle.

Procedure: The dentist examines the tooth, removes decay, and restores it with the selected filling material for function and aesthetics.

Problems with Dental Fillings

It’s normal to experience temporary sensitivity or mild pain around the filled tooth, especially when eating hot, cold, or sweet foods. This usually eases within 2–4 weeks. During this time, avoid triggers that worsen sensitivity. If discomfort continues, your dentist may recommend desensitizing toothpaste, apply a temporary desensitizing agent, or adjust the filling if it affects your bite. In rare cases, deeper pain may indicate the need for a root canal. Occasionally, nearby teeth may feel discomfort, but this typically resolves on its own.

 

Deterioration of Dental Fillings

Constant pressure from daily activities such as chewing and grinding can cause fillings to chip or even crack. You might not be able to tell if your filling is worn out or not but your dentist will detect faults in the filling during regular checkups.

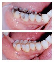
Before And After Treatment

Testimonial

What They Say

Healthy Smiles Start Here

Book your appointment today and experience expert dental care in Karachi.